Diagnosing a Marine Velvet Outbreak in an Achilles Tang

Diagnosing a Marine Velvet Outbreak in an Achilles Tang

Date: August 2025
System: 1400-gallon mixed marine aquarium
Species: Achilles Tang (Acanthurus achilles)

Overview

This case study highlights how molecular diagnostics and microscopy confirmed a complex pathogen outbreak in a large marine aquarium system shortly after the introduction of a new fish.

Within days of introducing an Achilles tang into a 1400-gallon display tank, the fish began showing symptoms consistent with a marine velvet infection, later confirmed through microscopy and qPCR DNA testing. Further analysis revealed a co-infection involving multiple pathogens, demonstrating how rapidly disease can escalate in marine systems without quarantine.

Initial Fish Introduction

A client introduced a newly purchased Achilles tang into their established 1400-gallon reef system after observing no visible disease symptoms at the aquarium store. Because the fish appeared healthy, the client opted to skip quarantine before adding the fish to the display system.

Achilles Tang Disease

Within 72 hours of introduction, the Achilles tang began exhibiting signs of severe stress including:

  • Flashing against surfaces
  • Increased agitation
  • Erratic swimming behavior

Approximately 24 hours later, the fish developed small white spots on its body, along with elevated mucus production.

The client monitored the fish for another day to confirm that the symptoms indicated an active infection while researching possible treatments.

Escalation of Symptoms

Soon after, the condition progressed.

Both the Achilles tang and a yellow tang in the system began exhibiting disease-related symptoms:

  • Loss of appetite
  • Rapid or heavy breathing
  • Frequent flashing
  • Mucus sloughing from the skin
Marine Fish Disease

The Achilles tang’s white spots became more numerous and developed into clustered, raised nodules across the body and fins, further suggesting a marine velvet infection.

At this stage, the client removed the affected fish and transferred them to a separate treatment system.

Emergency Treatment Response

Because the main display tank housed invertebrates, rays, and sharks, species highly sensitive to copper, treatment protocols had to be carefully adapted.

The response included:

Treatment System

  • Copper Power dosed to approximately ~2 ppm

Main Display System

  • Ruby Reef Rally Pro added at the manufacturer’s recommended concentration

These measures were intended to suppress pathogens in the display system while treating infected fish in a controlled environment.

Diagnostic Testing by dxAquaria

dxAquaria was asked to perform on-site diagnostic testing to identify the exact pathogens involved.

Marine Fish Disease Pathogen Testing

Sample Collection

Samples were collected from three sources:

  1. Water sample from the main 1400-gallon system
  2. Water sample from the treatment system
  3. Skin swab from the infected fish

These samples were analyzed using both microscopic examination and molecular DNA diagnostics.

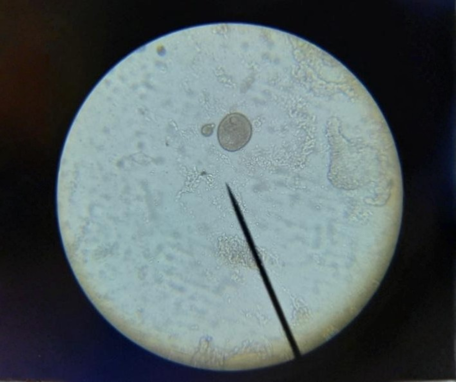
Microscopic Examination

Initial examination under 100× magnification revealed organisms strongly resembling Amyloodinium ocellatum, the parasite responsible for marine velvet infection.

Marine velvet is known for causing:

  • Rapid respiratory distress
  • Fine dust-like coating on fish
  • High mortality rates if untreated

Microscopic Results

On microscopic examination, it was determined that most of the microbes seen at 100x magnification resembled Amyloodinium, or marine velvet. 

But because the symptoms suggested a more complex infection, further testing was performed at the dxAquaria laboratory.

qPCR DNA Analysis

Back in the lab, DNA extracted from the samples was analyzed using the dxAquaria qPCR pathogen detection panel, designed to detect major marine fish pathogens, including:

  • Cryptocaryon irritans (Marine Ich)
  • Amyloodinium ocellatum (Marine Velvet)
  • Uronema marinum
  • Lymphocystis Virus

DNA Results

The results confirmed clinically significant levels of three pathogens across the system:

  • Marine Ich (Cryptocaryon irritans)
  • Marine Velvet (Amyloodinium ocellatum)
  • Uronema marinum

The fish swab sample contained pathogen concentrations roughly 100× higher than the water samples, providing the clearest confirmation of infection.

DNA sequencing further verified the identity of all three pathogens, confirming a multi-pathogen outbreak rather than a single marine velvet infection.

Marine Fish Pathogen Testing Results

Of the three detected pathogens, cryptocaryon was the highest abundance pathogen detected in every sample. The data above outlines the obtained data for Cryptocaryon Irritans (Marine Ich).

Understanding Multi-Pathogen Infections

Co-infections are common in marine aquariums.

In this case, the Achilles tang may have carried Cryptocaryon or Amyloodinium prior to introduction, but shipping stress and acclimation to a new environment likely triggered a pathogen bloom.

Stress can suppress immune responses in marine fish, allowing secondary pathogens like Uronema to proliferate rapidly.

While many fish can tolerate low pathogen levels, similar to how humans handle mild viral infections, high-virulence pathogens, such as marine velvet infection, can overwhelm the immune system quickly, making early diagnosis critical.

The Value of Rapid Molecular Diagnostics

One key takeaway from this case was the speed and sensitivity of qPCR diagnostics.

Even though the infected fish had been in the treatment system for three hours and exposed to copper, the diagnostic tests still detected meaningful pathogen levels.

Additionally, despite the large volume of the main 1400-gallon aquarium, the test successfully detected Cryptocaryon in the water column, demonstrating the capability of molecular diagnostics to identify pathogens even in diluted environments.

These rapid results allowed the aquarium maintenance team to adjust their treatment strategy quickly, addressing the full scope of the infection rather than treating a single suspected pathogen.

Key Lessons for Marine Aquarium Health

This case underscores several important lessons for marine aquarists and aquarium professionals:

  • Quarantine remains critical when introducing new fish to an established system.
  • Visual inspection alone often fails to detect early infections.
  • Stress during shipping or acclimation can trigger latent pathogen outbreaks.
  • Multi-pathogen infections are more common than many hobbyists realize.
  • DNA-based diagnostics provide faster and more accurate identification of pathogens compared to observation alone.

With tools like qPCR testing and rapid pathogen screening, aquarists can detect infections earlier and implement more effective treatment strategies before outbreaks escalate.

Like what you read? Share it with your network

Facebook
X
LinkedIn